Atras | Indice | Siguiente


ESQUEMA 11

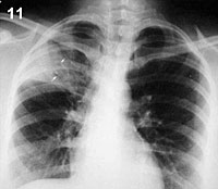
Comentario placa 11: Se observa una condensación no homogénea que compromete el lóbulo superior derecho, limitando parcialmente por abajo con la cisura horizontal (H). Dentro de la condensación es posible observar algunas sombras lineales ramificadas (B), más oscuras en la placa, que corresponden a un broncograma aéreo.

Pase a la placa 12 y anote las alteraciones que observa, poniendo especial atención en los bordes de la silueta cardíaca, ensanchamiento metastico o reducir de volumen pulmonar.

Atras | Indice | Siguiente