| Atras | Indice | Siguiente |
![]() |
![]() |
|
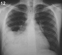
ESQUEMA 12 Comentario placa 12 Cuando las condensaciones contactan con otras estructuras densas como el corazón y el diafragma, el contorno de estas últimas se borra por falta del contraste entre sólido y aire Se observa una condensación situada en la base pulmonar derecha en un área que puede corresponder tanto al lóbulo medio como al inferior derecho y sería necesaria una placa lateral para identificar el lóbulo comprometido. Sin embargo, el borramiento completo de la parte baja del borde derecho de la silueta cardíaca indica que la condensación está en contacto con el corazón cuyo borde no se percibe por no contrastar con el parénquima que está condensado (signo de la silueta). Esto significa que está afectado el lóbulo medio. Además, la condensación tiene como límite superior la cisura horizontal (H). El diafragma se alcanza a ver con dificultad. Ponga la placa 13 que muestra una condensación situada en el pulmón izquierdo y anote como está el borde cardíaco. Atras | Indice | Siguiente |
![]() |