| Atras | Indice | Siguiente |
![]() |
![]() |
|
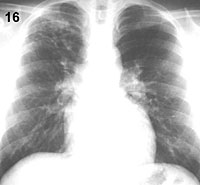
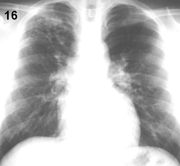
ESQUEMA 16 Comentario placa 16 En la región subclavia derecha hay numerosa sombras acinares que, a diferencia de las anteriores, sólo confluyen parcialmente. Son frecuentemente de naturaleza inflamatoria y una causa frecuente, que debe siempre investigarse con otros exámenes, es la tuberculosis. |
![]() |