| Atras | Indice | Siguiente |
![]() |
![]() |
|
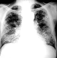
ESQUEMA 19 Comentario placa 19 En ambos pulmones se observa un compromiso difuso constituido por áreas irregulares de predominio periférico y basal que muestran elementos lineales de diferente grosor que forman un retículo irregular con escasa imágenes nodulillares poco definidas. La ocupación alveolar no permite distinguir en algunas zonas estos detalles. En el ángulo cardiofrénico derecho se esbozan algunos elementos areolares de panal de abejas. La TAC en estos casos aporta una mejor definición morfológica. Las posibilidades etiológicas son múltiples y es generalmente necesario considerar metódicamente los antecedentes clínicos y alteraciones funcionales e, incluso, llegar a la biopsia pulmonar para tener un diagnóstico seguro. Pase a la placa 20 |
![]() |