Atras | Indice | Siguiente

ESQUEMA 21

Comentario placa 21

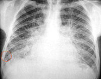
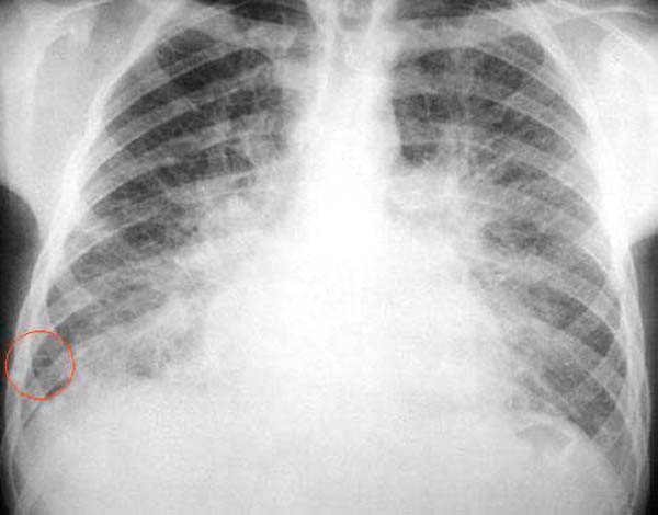
Es llamativo el aumento de tamaño del corazón y el engrosamiento de la trama vascular y relleno alveolar que irradian simétricamente desde los hilios, lo que sugiere una insuficiencia cardíaca con congestión pulmonar pasiva. En la base de la pared costal derecha se pueden ver una sombras lineales finas (1-2 mm) de menos de 2 cm de largo, paralelas y dispuestas perpendicularmente a la pleura costal denominadas líneas B de Kerley o septales, que son mas perceptibles en la ampliación de la zona (Placa 21-A).

PLACA 21-A

Las líneas de Kerley se deben al engrosamiento de tabiques interlobulillares que, en este caso, se debe a edema. También pueden producirse por infiltración neoplásica o , con menor frecuencia , por inflamación.
Las sombras lineales no son exclusivas de problemas intersticiales sino pueden originarse por aumento de espesor o densidad de estructuras normales: cisuras, paredes bronquiales y vasos, o por la aparición de elementos anormales como cicatrices pleurales o pulmonares, pliegues cutáneos, etc. Son elementos en que predomina la dimensión longitudinal con un ancho menor de 2 mm. Si son más gruesas (2 a 5 mm) se denominan bandas.

Atras | Indice | Siguiente