Atras | Indice | Siguiente

Esquema 22

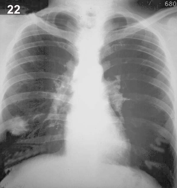
Comentario placa 22

En la base derecha se observa un nódulo redondeado de 30 mm de diámetro. Sus bordes presentan salientes agudas radiadas o espículas que son más frecuentes en procesos neoplásicos malignos.


Pase a la placa 23, examínela cuidadosamente y busque una anomalía que es difícil de ver.

Atras | Indice | Siguiente