Atras | Indice | Siguiente

ESQUEMA 23

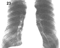
Comentario placa 23: A 2 cm de la pared lateral derecha del tórax proyectado sobre el arco posterior de la 4a costilla derecha se ve un nódulo de 8-9 mm de diámetro, medianamente denso y parcialmente bien delimitado. Por ser único, al igual que el de la placa 21, cabe dentro del síndrome del nódulo pulmonar solitario que, en adultos sobre los 30 a 35 años obliga a un estudio exhaustivo para descartar un cáncer bronquial. Si existiera alguna radiografía previa y se constatara falta de crecimiento en 2 años o se observara la existencia de calcificaciones centrales o difusas, se puede asegurar que se trata de un nódulo benigno. Usualmente estos nódulos deben estudiarse más a fondo con una tomografía axial computada (TAC) que se muestra en la placa 24

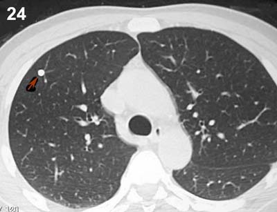
Placa 24

En este caso la TAC muestra el nódulo en forma mucho más evidente y como su densidad es similar a la de la vértebra y mayor que la de la aorta, se puede concluir que se encuentra enteramente calcificado, hecho que no es evidente en la placa radiográfica y que certifica su benignidad.

Pase a la placa 25 y anote sus observaciones

Atras | Indice | Siguiente