| Atras | Indice | Siguiente |
![]() |
![]() |
|
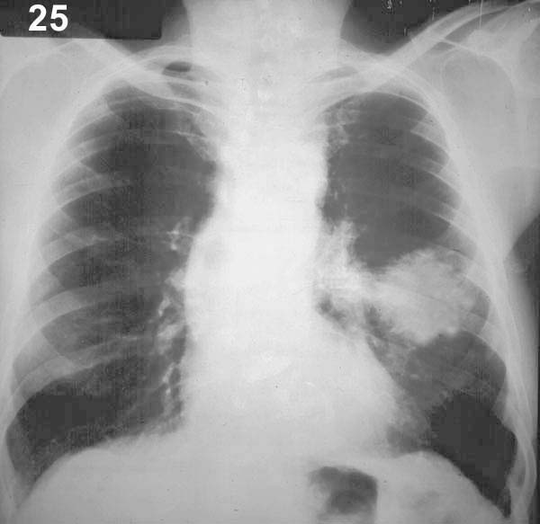
Esquema 25 Comentario placa 25 La sombra irregularmente redondeada del 1/3medio izquierdo tiene un diámetro mayor de 5 - 6 cm, constituyendo una masa. Sus bordes son irregulares y probablemente existe en el hilio izquierdo una imagen nodular de unos 2 cm que podría ser una adenopatía. El conjunto es sugerente de neoplasia y obliga a completar el estudio con los exámenes que permitan comprobar o descartar esta hipótesis. Examine y describa la placa 26 |
![]() |