| Atras | Indice | Siguiente |
![]() |
![]() |
|
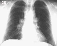
Esquema 26 Comentario placa 26 En el hilio derecho se observa dos masas redondeadas y en el hilio izquierdo es clara la existencia de otra en la parte superior con otra dudosa más abajo. Lo más probable es que se trate de adenopatías hiliares bilaterales, pero es necesaria la placa lateral para establecer su situación con precisión. Examine la placa lateral 27 y ubique las masas. |
![]() |