Atras | Indice | Siguiente

Esquema 30

Comentario placa 30

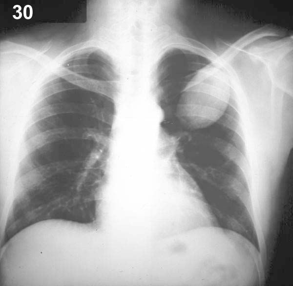
En la masa del lóbulo superior izquierdo llama la atención lo regular de su forma ovoidea y la nitidez de los bordes. Esto sugiere la posibilidad de un quiste, lo que constituye sólo una hipótesis ya que, generalmente, la radiografía no puede identificar el elemento que define anatómicamente a un quiste, cual es la existencia de una pared propia definida. Si está lleno de líquido o mucus, como es frecuente, la imagen radiográfica es similar a la de un nódulo o de una masa. El diagnóstico seguro puede hacerse recurriendo a TAC o, en casos con contacto parietal, a ecografía. En el caso presente, la imagen se debe a un quiste hidatídico, eventualidad que debe tenerse presente si se plantea estudiar una masa mediante una punción transtorácica por el peligro de shock anafiláctico. Cuando el quiste tiene un contenido aéreo la imagen cae bajo la denominación general de cavidades, que veremos a continuación.

Atras | Indice | Siguiente