| Atras | Indice | Siguiente |
![]() |
![]() |
|
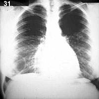
ESQUEMA 31 Comentario placa 31 En la base derecha se ve una imagen anular de unos 6 cm. de diámetro, de pared muy fina y con contenido aéreo. Lo mas probable es que se trate de un quiste o de una bula, pero son necesarios más antecedentes clínicos y exámenes para identificar su origen. Pase a la placa 32 y resalte las diferencias con la recién vista |
![]() |