| Atras | Indice | Siguiente |
![]() |
![]() |
|
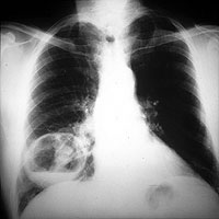
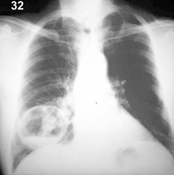
ESQUEMA 32 Comentario placa 32 El tamaño de esta cavidad es similar al de la anterior, pero la pared es más gruesa e irregular y la cavidad tiene un contenido hidroaereo. Además se ve una sombra redondeada de unos 3 cm. de diámetro que puede corresponder a restos necróticos en el interior del absceso, pero la radiografía frontal no permite descartar que no se trate de un nódulo o condensación situado detrás o delante de la cavidad. Esta imagen se puede generar por un proceso infeccioso abscedado o una neoplasia necrotizada. Analice la placa 33 |
![]() |