| Atras | Indice | Siguiente |
![]() |
![]() |
| ESQUEMA 33
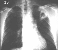
Comentario placa 33 En el lóbulo superior izquierdo se observa una imagen similar a la anterior, de menor tamaño y rodeada de una condensación irregular del parénquima vecino. Plantea las mismas posibilidades etiológicas de la anterior, pero por su situación y aspecto obliga a descartar específicamente una caverna tuberculosa, mediante los exámenes correspondientes. Siga a la placa 34. |
![]() |