| Atras | Indice | Siguiente |
![]() |
![]() |
|
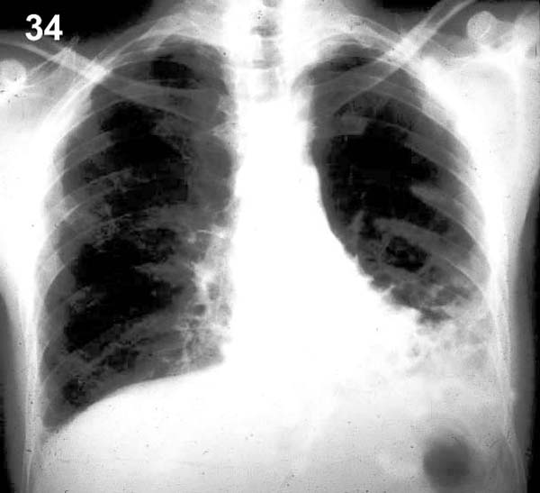
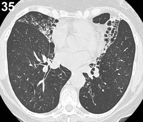
ESQUEMA 34 Comentario placa 34 En la base izquierda y área vecina al borde derecho del corazón hay sombras irregulares dentro de las cuales se distingue con dificultad algunas imágenes areolares mal definidas. Si bien esto permite plantear la sospecha de bronquiectasias su confirmación necesita de una TAC, que es mucho mas sensible para detectar estas alteraciones, como puede apreciarse en la placa que sigue.
|
![]() |