| Atras | Indice | Siguiente |
![]() |
![]() |
|
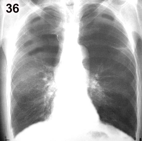
Esquema 36 Comentario placas 36 y 37 La placa corresponde a un gran fumador con enfisema pulmonar. Los lóbulos superiores y la base izquierda se ven más traslúcidos, por pobreza de vasos y los que hay son delgados y con ramificaciones escasas y distanciadas. Esta imagen es la constituye el signo radiológico específico de enfisema, que en la reproducción de la placa es poco evidente. Además los pulmones muestran signos de hiperinsuflación: aumento de volumen de los pulmones con diafragmas bajos y aplanados por debajo de la extremidad anterior de las costillas 7» u 8» y espacios intercostales dorsales horizontales y ensanchados En la placa lateral se aprecia el aplanamiento diafragmático y el aumento de contenido aéreo entre el esternón y el corazón. Si bien los signos de hiperinsuflación acompañan generalmente al enfisema no son específicos de éste y pueden observarse en otras obstrucciones bronquiales difusas como ser en el asma. Examine la placa 38 |
![]() |