| Atras | Indice | Siguiente |
![]() |
![]() |
|
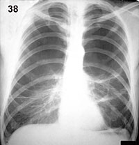
Esquema 38 Comentario placa 38 La hipertranslucencia de los lóbulos superiores es extrema, con carencia total de vasos. La alteración se encuentra limitada en su parte inferior por imágenes lineales arciformes que corresponden a parte de las paredes de grandes bulas bilaterales. |
![]() |