| Atras | Indice | Siguiente |
![]() |
![]() |
|
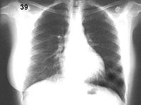
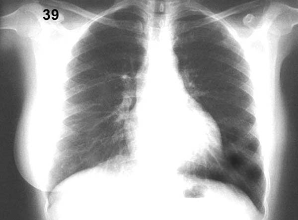
Esquema 39 Comentario placa 39 La base del pulmón izquierdo aparece mas traslúcida, pero ello no se debe a patología pulmonar sino que a la ausencia de mama en ese lado por una mastectomía. No debe olvidarse que las paredes del tórax contribuyen a la imagen radiográfica global. |
![]() |