| Atras | Indice | Siguiente |
![]() |
![]() |
|
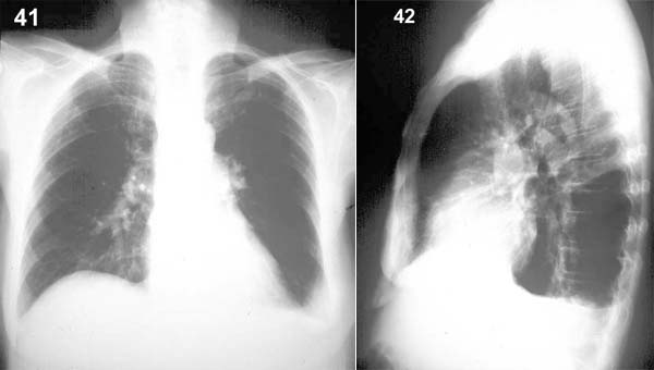
ESQUEMA 41 Comentario placas 41 y 42: En la radiografía frontal se aprecia que el ángulo costo frénico lateral izquierdo ha dejando de ser agudo y aparece ocupado o borrado por una sombra homogénea. En la placa lateral se ve el mismo fenómeno en relación al seno costo frénico posterior, donde se ha acumulado primero el líquido por su posición más baja. Pase a la placa 43 y describa sus hallazgos |
![]() |