| Atras | Indice | Siguiente |
![]() |
![]() |
|
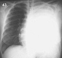
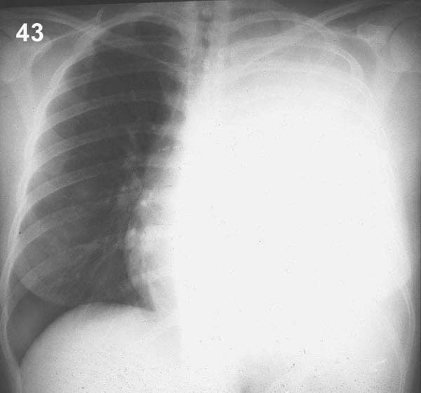
Esquema 43 Comentario placa 43 En este caso se observa un velamiento homogéneo total del hemitórax izquierdo y un desplazamiento del mediastino Y corazón hacia la derecha, todo lo cual indica un derrame pleural masivo. Pase a la placa 44. |
![]() |