Atras | Indice | Siguiente


ESQUEMA 46

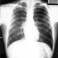
Al lado izquierdo especialmente al altura delos extremos anteriores de la tercera a quinta costillas, es posible ver el borde del pulmón separado de la pared costal por una zona de densidad aérea en que no hay dibujo pulmonar que es la cámara de un neumotórax. Este es de aproximadamente un 40% del volumen del hemitórax pero aparece menor porque la parte de la cámara que esta por delante y detrás del pulmón no se ve por estar sobrepuesta al pulmón retraído y corazón.


Examine la placa 47 e indique sus alteraciones

Atras | Indice | Siguiente