Atras | Indice | Siguiente

ESQUEMA 47

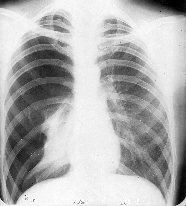
Ocasionalmente, la fisura por donde penetra el aire se comporta como una válvula que permite la entrada de aire a la pleura en cada inspiración, pero no su salida. Con ello, la presión intrapleural se va haciendo progresivamente positiva con colapso total del pulmón ipsilateral y, si no se corrige rápidamente provoca desviación del mediastino y colapso del pulmón contralateral. La placa 47 corresponde a un neumotórax derecho a presión en el cual el pulmón de ese lado está colapsado totalmente hacia el hilio y el mediastino se está desplazando hacia la izquierda.

Pase a la placa 48

Atras | Indice | Siguiente