| Atras | Indice | Siguiente |
![]() |
![]() |
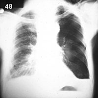
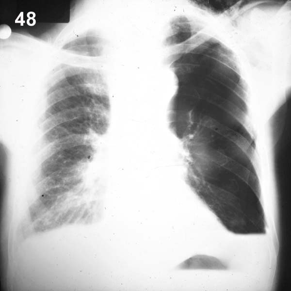
| ESQUEMA 48
Comentario placa 48 Además de una amplia cámara de neumotórax al lado izquierdo se observa en la base de este hemitórax una sombra homogénea de límite superior horizontal. Se trata de un neumotórax con acumulación de líquido pleural o hidroneumotórax. Por en la gran cámara del neumotórax una interfase aire-líquido, se produce un límite horizontal muy neto (imagen hidro-aérea). |
![]() |