Atras | Indice | Siguiente

PLACA 40

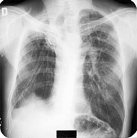
Comentario placa 40

La arquitectura pulmonar está muy distorsionada con una marcada retracción de ambos lóbulos superiores que arrastra fuertemente a ambos hilios hacia arriba – Los vasos pulmonares se ven casi verticales y los lóbulos inferiores presentan zonas de hipertransparencia por sobredistensión. El hemidiafragma derecho esta oculto por un denso velamiento, probablemente por fibrosis pleural. Todo esto sugiere un proceso cicatrizal importante que, en este caso, corresponde a las secuelas de una tuberculosis bilateral extensa.

Atras | Indice | Siguiente