Atras | Indice | Siguiente

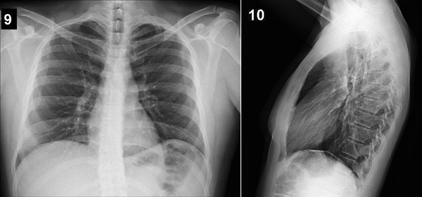
Placa 9 y placa 10
Localice en estas placas los siguientes elementos morfológicos:
- apófisis espinosas
- escápulas
- senos costofrénicos laterales
- senos costofrénicos posteriores
- burbuja de aire del estómago
- bronquios principales
- traquea
- hilios
- cisura oblicua
- cisura horizontal
- botón aórtico
- arteria pulmonar izquierda
- arteria pulmonar derecha
- lobulo medio
- lobulos superiores
Atras | Indice | Siguiente |