|
Atras | Indice | Siguiente
RADIOGRAFIA DE TORAX NORMAL
Un radiólogo o un especialista experimentado puede identificar y evaluar
múltiples estructuras y detalles anatómicos dentro del tórax,
pero, de acuerdo a nuestros objetivos, sólo analizaremos aquellos de
mayor relevancia suponiendo que el examen se ha realizado de pies, salvo que
se indique lo contrario.
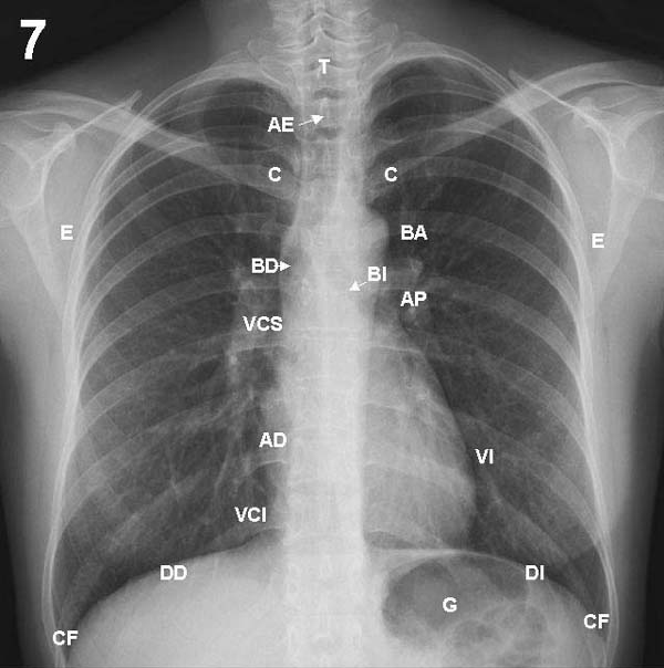
Pase primero a la placa 7 (frontal) y localice en ella las marcas correspondientes
a los elementos que a continuación se indican. Después haga lo
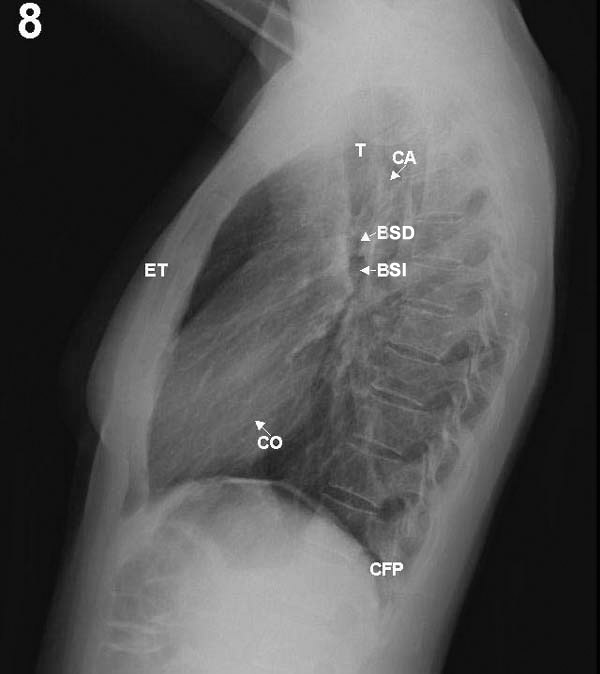
mismo con la placa lateral 8.


PLACAS 7 Y 8
Paredes del tórax
COLUMNA VERTEBRAL: los cuerpos vertebrales se ven en forma borrosa,
y las apófisis espinosas (AE), dispuestas a lo largo de la línea
media, se aprecian mejor en la parte alta del tórax, perdiéndose
detrás del corazón. En la proyección lateral las
vértebras se ven más claramente, viéndose más
blancas las superiores por la sobreposición de las masas musculares
de la cintura escapular.
COSTILLAS: por su trayecto oblicuo los arcos posteriores de las
costillas se proyectan varios centímetros más arriba que
sus extremos anteriores, que son los más fáciles de individualizar
para contar las costillas. Sus bordes son aproximadamente paralelos, y
los espacios intercostales son iguales a ambos lados del tórax.
En personas de edad, los cartílagos costales suelen calcificarse,
dando imágenes que pueden confundirse con lesiones patológicas
del pulmón.
ESTERNON: se ve en su totalidad en la proyección lateral
(ET), mientras que en frontal sólo se ve la zona del manubrio por
encima de la extremidad de la segunda costilla. Ocasionalmente puede aparentar
un ensanchamiento de la parte alta del mediastino.
CLAVICULA: es importante individualizar sus extremos internos (C)
en relación a las apófisis espinosas para verificar si la
placa esté bien centrada.
ESCAPULA: al tomarse una radiografía, los brazos se ponen
en posición tal que las escápulas (E) son desplazadas fuera
del campo de proyección de los pulmones, pero generalmente es posible
ver su borde interno proyectado sobre éstos.
DIAFRAGMA: En inspiración profunda la parte más alta
de la cúpula diafragmática derecha (DD) coincide aproximadamente
con el extremo anterior de la 6» costilla. Debido al peso del corazón,
la cúpula izquierda (DI) está 1,5 a 2,5 cm más abajo
en el 90% de los sujetos normales. Usualmente las cúpulas son regularmente
redondeadas, pero pueden presentar lobulaciones. A ambos lados contactan
en ángulo agudo con las paredes costales formando los senos costofrénicos
laterales (CF). Hacia la línea media, la cúpula derecha
termina formando con el corazón el ángulo cardiofrénico,
mientras que a la izquierda puede seguirse por varios centímetros
dentro de la sombra cardíaca. Uno a dos cm bajo el diafragma izquierdo
se observa la burbuja de aire del estómago (G), relación
que sirve para reconocer la posición de pies en la placa frontal,
identificar este hemidiafragma en la radiografía lateral y para
sospechar, como más adelante veremos, la existencia de un derrame
infrapulmonar al lado izquierdo. En esta última proyección
puede apreciarse que, por tener las inserciones posteriores del diafragma
una posición más caudal, los senos costofrénicos
posteriores (CFP), están situados varios centímetros por
debajo de los anteriores y laterales y son los primeros que se borran
al iniciarse un derrame pleural..
PARTES BLANDAS PARIETALES. Usualmente su situación externa al tórax
es evidente pero, en ocasiones, los pezones y tumores superficiales pueden
simular nódulos, mientras que los pliegues cutáneos pueden
dar falsas imágenes lineales. Las mamas voluminosas pueden producir
un velamiento tenue y una mastectomía, una falsa imagen de hipertranslucencia
pulmonar.
Contenido torácico
TRAQUEA: en la placa frontal se ve como una tenue columna aérea
(T) que baja por la línea media, desviándose ligeramente
a la derecha a nivel del cayado aórtico. En la radiografía
lateral es levemente oblicua de delante a atrás.
BRONQUIOS PRINCIPALES:
en la placa frontal, un poco por debajo del nivel del botón aórtico,
se separan las columnas aéreas de los bronquios derecho (BD) e
izquierdo (BI), formado una carina de ángulo variable entre 50
y 100%.
En proyección lateral, estos bronquios principales se superponen
y no son diferenciables, pero las ramas para los lóbulos superiores
de ambos pulmones (BSD y BSI) siguen un trayecto horizontal, relativamente
paralelo al haz de rayos, por lo que sus paredes son atravesadas longitudinalmente
y contrastan como claridades redondeadas superpuestas al eje traqueal,
siendo la más alta la correspondiente al bronquio derecho. Las
ramas bronquiales lobulares y sus subdivisiones no son visibles por estar
rodeadas de pulmón lleno de aire.
MEDIASTINO: Los órganos centrales del tórax forman una
silueta característica en la placa frontal, cuyo borde derecho
está formado de arriba abajo sucesivamente por el tronco braquiocefálico
derecho, la vena cava superior (VCS), la aurícula derecha (AD)
y una pequeña parte de la vena cava inferior (VCI). El borde izquierdo
empieza arriba con la arteria subclavia y sigue con la prominencia del
botón aórtico (BA). En la parte media se proyecta el tronco
de la arteria pulmonar(AP), parte de la aurícula izquierda y finalmente,
el ventrículo izquierdo (VI), que forma un arco fuertemente prominente.
En la placa lateral la sombra cardíaca descansa y se confunde con
la mitad anterior del hemidiafragma izquierdo. Su borde anterior está
formado por el ventrículo derecho (VD) y el posterior por la aurícula
izquierda arriba, el ventrículo al medio y la vena cava inferior,
abajo. El cayado aórtico (CA) puede distinguirse parcialmente como
un arco anteroposterior.
PARENQUIMA PULMONAR. El aire, las paredes bronquiales, los tabiques
alveolares y el intersticio normales no dan imagen radiográfica
notoria. La trama que se ve en los campos pulmonares corresponde a los
vasos pulmonares llenos de sangre que contrastan con el parénquima
aireado. Las arterias pulmonares y el nacimiento de sus ramas principales
forman parte del mediastino y de las sombras hiliares. Hacia la periferia,
las arterias (A) se ven más tenues, pero es posible seguirlas hasta
1 a 2 cm de la pleura y apreciar sus divisiones, que se suceden con intervalos
de 1 a 2 cm. Por efecto de la gravedad, la presión hidrostática
intravascular es mayor en las bases, por lo cual los vasos en estas zonas
están más distendidos y se ven un 50 - 75% más gruesos
que los de la mitad superior del pulmón. En la mitad inferior de
los pulmones, las arterias siguen un trayecto oblicuo cercano a la vertical,
mientras que las venas siguen una dirección casi horizontal hacia
la aurícula izquierda.
Los bronquios iintrapulmonares no se ven por constituir prácticamente
una interfase aire-aire. Ocasionalmente pueden dar origen a una imagen
anular cercana a los hilios cuando los rayos los atraviesan a lo largo
de su eje longitudinal.
HILIOS PULMONARES. Anatómicamente son el conjunto de vasos,
bronquios, nervios que desde el mediastino penetran al pulmón,
más algunos ganglios linfáticos pequeños. Su principal
componente radiográfico al lado derecho son las ramas de la arteria
pulmonar derecha, mientras que al lado izquierdo son la arteria pulmonar
izquierda en sí misma y sus divisiones. En condiciones normales,
los demás componentes contribuyen poco a las sombras hiliares.
El hilio derecho se encuentra aproximadamente 1,5 cm más bajo que
el izquierdo.
PLEURAS. En la mayor parte de su extensión, estas membranas
se encuentran en contacto con la superficie interna del tórax,
formando una interfase sólido-sólido, que no da imagen radiográfica.
A nivel de las cisuras pulmonares, en cambio, la pleura tiene aire por
ambos lados, de manera que da origen a una fina imagen lineal en las zonas
en que los rayos la atraviesan tangencialmente. La cisura menor u horizontal
del lado derecho se ve frecuentemente en la radiografía frontal
y casi siempre en la lateral. Las cisuras mayores u oblicuas (CO) no son
apreciables en la placa frontal, pero suelen verse en la lateral como
finas líneas oblicuas de atrás a adelante y de arriba a
abajo.
Tamaño del pulmón
El tamaño de los pulmones se aprecia en la radiografía
especialmente por la posición del diafragma y mediastino y por
la conformación de la caja torácica. Varía ampliamente
con la contextura y talla del individuo. En posición de pies y
en inspiración profunda, el vértice de la cúpula
diafragmática derecha coincide con el extremo anterior de la 5a
a 6a costilla. Al lado izquierdo la base pulmonar está, en general,
hasta 2,5 cm más bajo. En decúbito el tórax se acorta
considerablemente, el corazón se dispone más horizontalmente
y el mediastino se ensancha. Lo mismo sucede, en menor grado, en la espiración.
En alteraciones unilaterales el mediastino suele desplazarse hacia el
pulmón de menor tamaño al tiempo que los espacios intercostales
de ese lado se ven más estrechos.
Atras | Indice | Siguiente |