Atras | Indice | Siguiente

CALIFICACION DE LA CALIDAD DE LA RADIOGRAFIA DE TORAX

Partiendo de la base que sólo el examen radiografico de buena calidad puede entregar una información completa y fidedigna, lo primero que el clínico debe hacer es verificar que ha recibido un examen técnicamente adecuado.

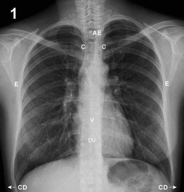
Esta es una radiografía frontal o póstero-anterior (PA) de buena calidad, de un sujeto normal en posición de pies.

Para que una radiografía de tórax se considere adecuada debe reunir las siguientes características que Ud. debe identificar en la placa:

a) La placa debe incluir la totalidad del tórax, desde los vértices pulmonares hasta el fondo de los recesos costodiafragmáticos (CD) tanto en proyección frontal como lateral. Las escápulas (E) deben estar desplazadas fuera de los campos pulmonares.

b) La radiografía frontal debe estar bien centrada, lo que se puede verificar comprobando que los extremos esternales de ambas clavículas (C) equidisten de la sombra central de las apófisis espinosas vertebrales (AE).

PLACA 1b detalle

c) La dureza o penetración de los rayos debe ser tal que alcance a distinguirse detrás de la sombra cardíaca la columna vertebral tenuemente segmentada en cuerpos vertebrales (V) y discos intervertebrales (D). Debe existir, además, una gama bien diferenciable de grises, negro y blanco.

d) Salvo que se haya solicitado de otra manera, la placa se toma en inspiración profunda sostenida. El tamaño, posición y forma de las estructuras endotorácicas varía considerablemente en espiración y, si no se han detenido los movimientos respiratorios, las imágenes, especialmente de los vasos, resultan borrosas.

e) Si lo permite el estado del paciente, la radiografía de tórax se toma ordinariamente en posición de pies. Esto determina una morfología y topografía características debidas a la acción craneo-caudal de la fuerza de gravedad. Un índice de que la radiografía ha sido tomada en esta posición es la presencia de la burbuja de aire del estómago (G) en contacto con la cara inferior del hemidiafragma izquierdo.

Atras | Indice | Siguiente