Atras | Indice | Siguiente

Busque en la placa que sigue todos los indicadores de calidad recién vistos y anote y dibuje las diferencias que usted encuentra y su probable explicación. Una vez anotada su opinión, cotéjela con el comentario que encontrará en la página que sigue. Si hay discrepancias, repita el análisis.

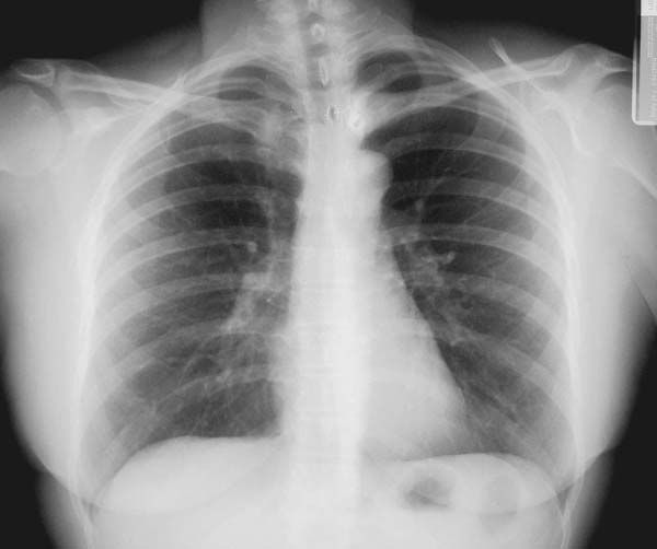
Comentario placa 2

El extremo de la clavícula izquierda está más cerca de la apófisis espinosa que el de la clavícula derecha. Esto indica que el tronco está rotado, con el hombro izquierdo hacia adelante ( oblicua anterior izquierda). Como se ilustra en el esquema adjunto, con este giro la apófisis espinosa se desvía hacia la izquierda de la línes media, mientras que el extremo de la clavícula izquierda se acerca a la línea media. Los hilos pulmonares, al acercarse ambos a la línea media, se confunden parcialmente con el corazón.

Pase a la placa 3 y repita el proceso de comparación con la placa de buena calidad.

Atras | Indice | Siguiente