| Atras | Indice | Siguiente |
![]() |
![]() |
|
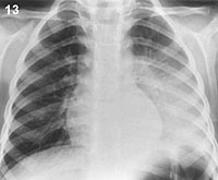
ESQUEMA 13 Comentario placa 13 En este caso, es posible seguir el borde cardíaco izquierdo que se destaca con claridad sobre la sombra de condensación, indicando una falta de contigüidad. Esto significa que la condensación está en el lóbulo inferior |
![]() |