Atras | Indice | Siguiente

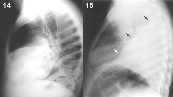
Examine las placas laterales 14 y 15 que corresponden, en el mismo orden, a las placas frontales recién vistas. La primera muestra una condensación del lóbulo medio proyectada sobre la sombra cardíaca y la segunda, una condensación que está por detrás del corazón ocupando todo el lóbulo inferior izquierdo, lo que permite ver por contraste su límite antero-superior determinado por la cisura oblicua de ese lado.


PLACA 14 ------PLACA 15

La condensación de un área de parénquima generalmente no modifica notoriamente su volumen. Ocasionalmente algunas neumonías con mucho componente edematoso pueden aumentarlo, mientras que en infartos puede producirse una reducción de volumen por colapso alveolar debido a una reducción de surfactante, secundaria a la isquemia. Cuando el relleno alveolar se debe a edema, las imágenes descritas pueden modificarse en horas, siendo en cambio más persistentes cuando hay fenómenos de exudación.

Pase a la placa 16 y anote sus hallazgos.

Atras | Indice | Siguiente