| Atras | Indice | Siguiente |
![]() |
![]() |
|
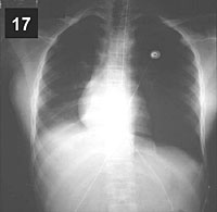
ESQUEMA 17 Comentario placa 17 Detrás del corazón se distingue una sombra triangular paravertebral que corresponde al lóbulo inferior derecho colapsado. Aunque no se viera esta imagen directa del lóbulo retraído, la existencia de la atelectasia sería detectable por el desplazamiento del corazón hacia la derecha y el ascenso diafragmático. Pase a la placa 18 que corresponde al mismo paciente unas pocas horas después de haberse aspirado broncoscópicamente un gran tapón mucoso que ocluía el bronquio del lóbulo inferior derecho. Observe la desaparición de la condensación retrocardíaca y la corrección de los desplazamientos del diafragma y mediastino. |
![]() |