Atras | Indice | Siguiente

PLACA 18

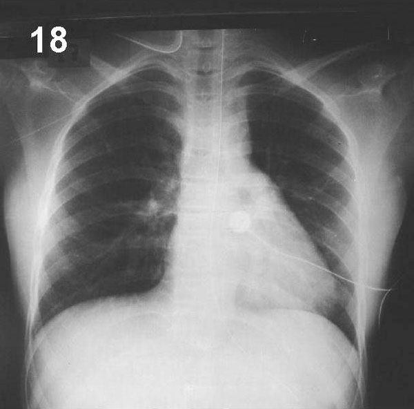
La opacidad generada por una atelectasia tiene una situación y forma característica según los lóbulos o segmentos colapsados. El signo de la silueta puede estar presente y puede observarse broncograma aéreo, siempre que la atelectasia no se deba a una obstrucción bronquial con reabsorción del aire hacia distal. En ocasiones, la atelectasia puede detectarse por la sobreinflación compensatoria del parénquima vecino.

Atras | Indice | Siguiente