| Atras | Indice | Siguiente |
![]() |
![]() |
|
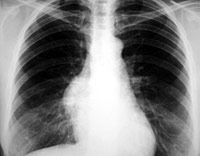
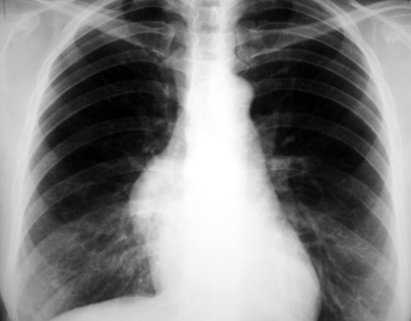
ESQUEMA 28 Comentario placa 28 La masa esta en contacto con el corazón ya que no se ve la silueta del borde derecho de éste. Los ángulos que forma la masa con el borde del mediastino son obtusos, lo que sugiere que el tumor no se origina en el pulmón sino más bien en el mediastino, paro esta diferenciación no es siempre segura. Pase a la placa lateral N° 29 |
![]() |