Atras | Indice | Siguiente

Placa 29

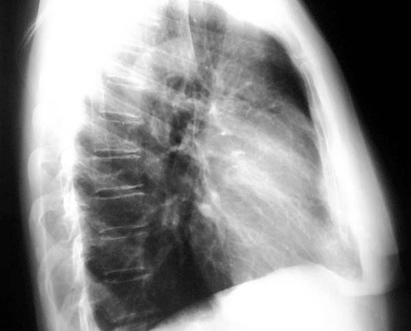
Comentario: se ve claramente la gran masa en el mediastino anterior en contacto con el corazón. En este caso se trata de un timoma.

Pase a al placa 30 y describa las características más llamativas de la masa.

Atras | Indice | Siguiente