| Atras | Indice | Siguiente |
![]() |
![]() |
|
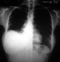
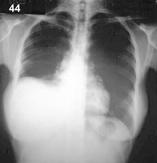
Esquema 44 Comentario placa 44 La primera impresión es que el diafragma derecho se encuentra ascendido. Sin embargo, la historia del paciente y el desplazamiento del vértice de la supuesta cúpula diafragmática hacia la pared lateral del tórax, hicieron sospechar un derrame infrapulmonar. La cúpula del diafragma alcanza su mayor altura a nivel de la linea medioclavicular. Para comprobar esta hipótesis se tomó una radiografía en decúbito lateral con rayo horizontal (placa 45). |
![]() |