Atras | Indice | Siguiente


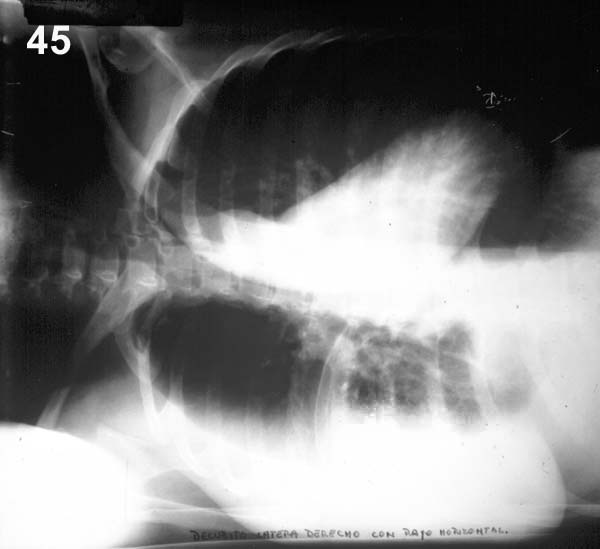
PLACA 45

En esta posición, el líquido que estaba acumulado entre pulmón y diafragma se desplaza, por efecto de la fuerza de gravedad, a la parte más baja de la cavidad pleural y se ve como una capa o franja homogénea de más o menos 2 cm de espesor sobre la pared costal derecha.

Atras | Indice | Siguiente